華東師范大學教授李大力、劉明耀團隊聯合臨港實驗室青年研究員陳亮團隊,開發出高性能線粒體腺嘌呤堿基編輯器(eTd-mtABEs),并利用eTd-mtABEs成功構建了感音神經性耳聾和Leigh綜合癥大鼠疾病模型。此外,團隊使用重新改造的DdCBE變體,首次實現線粒體致病突變的體內原位糾正,成功逆轉了leigh綜合征的疾病表型。
6月3日,兩篇研究論文均發表于《自然-生物技術》,期刊同期發表“新聞與觀點(News & Views)”“社論(Editorial)”評價這兩項工作。
“這兩項研究不僅再次引發學界對于早期TALE 基因編輯技術的關注,也標志著線粒體基因組堿基編輯領域迎來了令人振奮的突破。”德國漢諾威萊布尼茨大學教授延斯·博赫(Jens Boch)如是評價道。
全球1/5000的人群受影響
線粒體是一種存在于大多數真核細胞中的細胞器,扮演著“能量工廠”的角色。同時,線粒體擁有遺傳物質(mtDNA)和遺傳體系,當mtDNA發生突變時,會引起多種嚴重的遺傳性疾病,如Leber遺傳性視神經病變(LHON)、線粒體腦肌病伴乳酸酸中毒和卒中樣發作(MELAS)以及Leigh綜合征等。
長期以來,線粒體疾病的治療一直是醫學領域內亟待攻克的難題,傳統藥物治療價格昂貴,只緩解線粒體疾病所帶來的部分癥狀,無法根治疾病,并且可能會帶來極強的副作用。“全球平均每5000人中就有1人受有害mtDNA突變影響,其中約95%是點突變,這些疾病可累及全身多個器官,癥狀嚴重且難以治愈。”李大力告訴《中國科學報》。
隨著基因編輯技術的快速發展,學界也開發了系列工具,以期精確“修補”線粒體基因組的突變位點,從源頭上治愈疾病。如CRISPR/Cas技術衍生的堿基編輯器,已成功用于治療由細胞核DNA(nDNA)點突變引起的疾病,但由于線粒體基因組結構的特殊性,該技術難以用于修改mtDNA。
近年來,科學家們開發了DdCBE、TALEDs等線粒體堿基編輯器,理論上能靶向約86%的致病mtDNA點突變。然而,線粒體疾病的發生通常需要突變比例超過一定“閾值”,受限于編輯效率和精度等瓶頸,現有線粒體堿基編輯器難以構建出含有高頻突變,且表現出臨床表型的線粒體基因突變動物模型,更難以實現有效的疾病治療。
高效構建疾病模型
“寶貴的mtDNA疾病動物模型和高精度線粒體基因編輯器是線粒體基礎研究和基因治療的重要技術支撐。”李大力指出。
在第一項研究工作中,研究團隊經過分析和實驗推測,腺嘌呤脫氨酶TadA-8e的活性是決定線粒體基因組中腺嘌呤(A)編輯為鳥嘌呤(G)性能的關鍵因素之一。
為此,研究團隊對TadA-8e進行了改造,并篩選出活性顯著增強的變體,這些變體在nDNA編輯中展現出顯著優勢,為開發出高性能的線粒體A堿基編輯工具提供可能性。進一步地,研究團隊將高活性TadA變體引入分裂型TALEDs(sTALEDs)中,從而獲得了eTd-mtABEs。

eTd-mtABEs結構示意圖。
研究結果表明,eTd-mtABEs在線粒體多個內源位點的編輯效率比sTALEDs平均提高了約6.9倍,尤其在原先難以編輯的位點提升更為顯著,同時保持了較低的DNA和RNA脫靶風險。此外,eTd-mtABEs在大鼠細胞系中實現了高達145倍的效率提升。
此外,研究團隊基于eTd-mtABEs構建了全球首例遺傳穩定的Leigh綜合征及感音神經性耳聾大鼠模型。
陳亮表示:“eTd-mtABEs作為超高活性、低脫靶的新型線粒體堿基編輯器,為快速構建更接近人類疾病的線粒體病動物模型提供了強大工具,將極大推動對線粒體功能和疾病機制的深入研究。”
首次在體內原位糾正致病突變
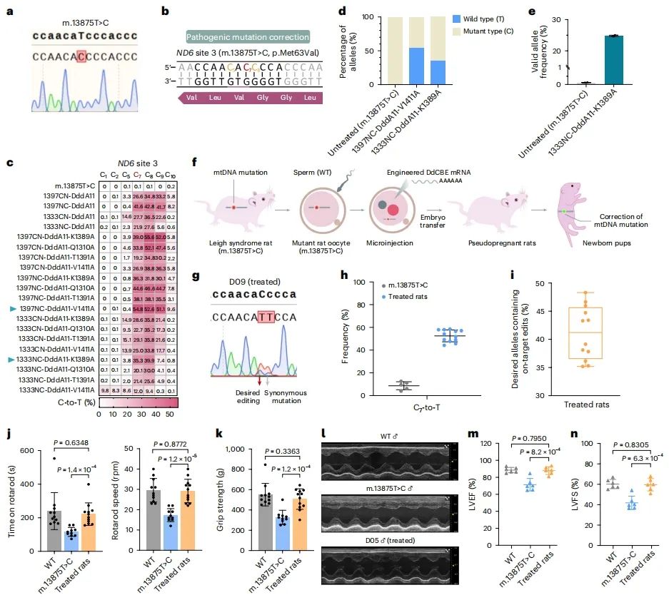
“在第二篇論文中,我們利用前一篇工作開發的線粒體腺嘌呤編輯器eTd-mtABE-RW/V28A,在大鼠體內高效且精準的引入了Leigh綜合征相關的致病性點突變。”李大力介紹,49只出生大鼠均攜帶近乎單個的致病性T>C編輯,平均效率高達54%,并且mtDNA點突變可以高效穩定的遺傳。此外,表型實驗揭示了Leigh綜合征大鼠產生明顯的運動功能障礙和心臟功能受損,證實團隊成功建立了Leigh綜合征大鼠模型。
為了精準糾正致病點突變,研究人員工程化設計并改造出60個DdCBE變體,最終獲得大幅降低“旁觀者編輯”的1333NC-DddA11-K1389A變體。
通過將最優的DdCBE變體注射到近乎純合突變的大鼠受精卵中,實現了平均高達53%的野生型mtDNA恢復,高效精準的體內編輯使得Leigh綜合征大鼠模型的肌肉和心臟功能改善至野生型大鼠水平。
進一步地,研究人員將最優的DdCBE變體注射到近乎純合突變的Leigh綜合征大鼠模型的受精卵中。結果顯示,平均53%的致病mtDNA被成功糾正回正常狀態,且高效精準的體內編輯使得Leigh綜合征大鼠模型的肌肉和心臟功能改善至野生型大鼠水平。
“這是國際上首次在活體動物中實現mtDNA致病點突變的原位糾正,為后續線粒體基因編輯器用于線粒體遺傳性疾病的基因治療研究提供了范式,極具有里程碑意義。”陳亮說到。

基于改造的DdCBE實現體內原位糾正mtDNA致病性突變。圖片均由受訪者提供
李大力同時指出:“這兩項工作涵蓋了編輯器改造、動物模型制備、概念性完成線粒體致病突變原位修復以及糾正疾病表型,整個工作完整度、完成度都非常高。”
劉明耀也表示:“我們在開發新型線粒體基因編輯工具、原位精準糾正線粒體致病突變方面實現雙突破,為根治線粒體遺傳病提供了革命性技術路徑。未來我們將基于該項技術進行產品升級開發,為廣大患者造福。”
相關論文信息:
https://www.nature.com/articles/s41587-025-02685-x
https://www.nature.com/articles/s41587-025-02684-y
閱讀原文
記者丨江慶齡
來源丨科學網客戶端
編輯丨王越月
編審丨戴琪